Gram Stain (Mixed Bacteria)

Microbiology
All Specimens

Heat-fixed bacterial smear with Gram staining showing gram-positive and gram-negative organisms

Stains: gram unstained ziehl_neelsen
Images: 32
Compatible Scopes: 15
Open in Simulator

Drag & drop images here to add to this specimen

or click Upload Image above

Release to upload

Image Library

32 images
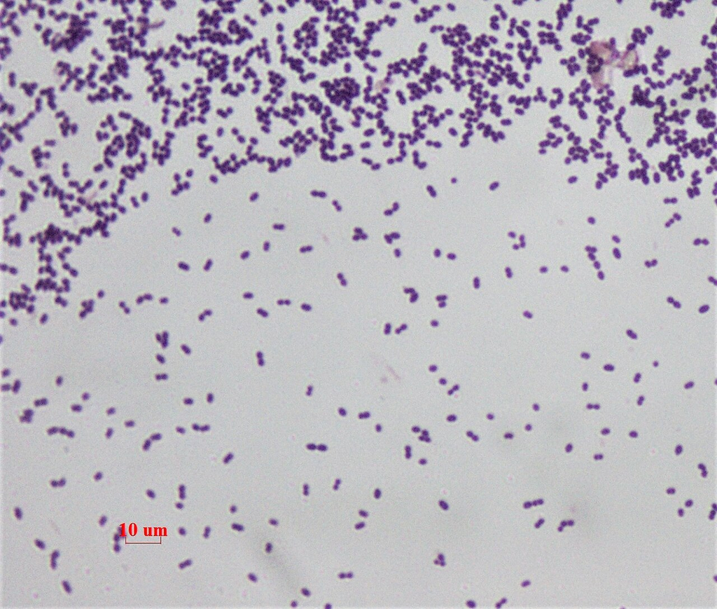
Staphylococcus aureus — Gram Stain
Staphylococcus aureus — Gram Stain

Gram-stained smear of Staphylococcus aureus showing characteristic grape-like clusters of gram-positive cocci (dark purple).

gram Downloaded 2026-03-15
Upright Optical
100× Brightfield Focus 0.5 NA 1.25

Oil immersion — classic staphylococcal cluster morphology

Wikimedia Commons — CC BY-SA 3.0

Streptococcus pyogenes — Gram Stain
Streptococcus pyogenes — Gram Stain

Gram-stained smear of Streptococcus pyogenes (Group A Strep) showing gram-positive cocci in chains.

gram Downloaded 2026-03-15
Upright Optical
100× Brightfield Focus 0.5 NA 1.25

Oil immersion — chains of cocci, group A beta-hemolytic streptococcus

Wikimedia Commons — CC BY-SA 3.0

Escherichia coli — Gram Stain
Escherichia coli — Gram Stain

Gram-stained smear of Escherichia coli showing pink/red gram-negative bacilli. Uniform rod-shaped bacteria characteristic of Enterobacteriaceae.

gram Downloaded 2026-03-15
Upright Optical
100× Brightfield Focus 0.5 NA 1.25

Oil immersion — gram-negative rods, most common clinical isolate

Wikimedia Commons — CC BY-SA 3.0

Pseudomonas aeruginosa — Gram Stain
Pseudomonas aeruginosa — Gram Stain

Gram stain showing slender gram-negative bacilli of Pseudomonas aeruginosa. Organisms appear as thin pink rods.

gram Downloaded 2026-03-15
Upright Optical
100× Brightfield Focus 0.5 NA 1.25

Oil immersion — slender gram-negative rods, opportunistic pathogen

Wikimedia Commons — CC BY-SA 3.0

Bacillus subtilis — Gram Stain
Bacillus subtilis — Gram Stain

Gram-stained smear of Bacillus subtilis showing large gram-positive bacilli in chains. Spore-forming rod with subterminal endospores sometimes visible.

gram Downloaded 2026-03-15
Upright Optical
100× Brightfield Focus 0.5 NA 1.25

Oil immersion — large gram-positive rods in chains, spore-forming

Wikimedia Commons — CC BY-SA 3.0

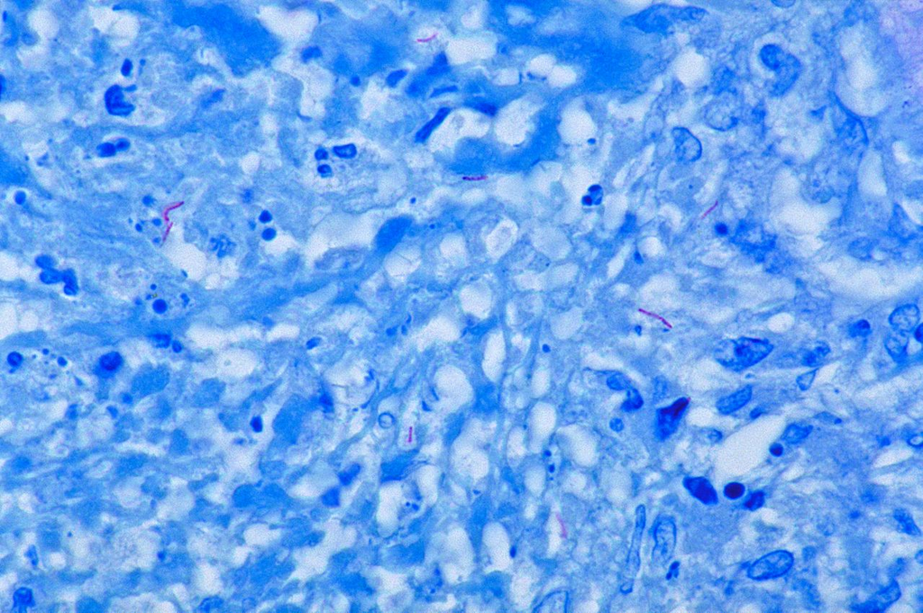
Mycobacterium tuberculosis — Acid-Fast Stain
Mycobacterium tuberculosis — Acid-Fast Stain

Ziehl-Neelsen acid-fast stain showing bright red acid-fast bacilli (AFB) of Mycobacterium tuberculosis against blue counterstain background.

ziehl_neelsen Downloaded 2026-03-15
Upright Optical
100× Brightfield Focus 0.5 NA 1.25

Oil immersion — acid-fast bacilli, comparison with Gram stain

Wikimedia Commons — Public Domain (CDC)

Streptococcus pneumoniae — Gram Stain
Streptococcus pneumoniae — Gram Stain

Gram stain of Streptococcus pneumoniae showing lancet-shaped gram-positive diplococci with characteristically pointed ends.

gram Downloaded 2026-03-15
Upright Optical
100× Brightfield Focus 0.5 NA 1.25

Oil immersion — lancet-shaped diplococci, common cause of pneumonia

Wikimedia Commons — Public Domain (CDC)

Enterococcus faecalis — Gram Stain
Enterococcus faecalis — Gram Stain

Gram stain of Enterococcus faecalis showing gram-positive cocci in pairs and short chains. Important nosocomial pathogen.

gram Downloaded 2026-03-15
Upright Optical
100× Brightfield Focus 0.5 NA 1.25

Oil immersion — diplococci and short chains

Wikimedia Commons — CC BY-SA 4.0

Klebsiella pneumoniae — Gram Stain
Klebsiella pneumoniae — Gram Stain

Gram stain of Klebsiella pneumoniae showing plump gram-negative bacilli. Mucoid capsule may appear as clear halo surrounding the organisms.

gram Downloaded 2026-03-15
Upright Optical
100× Brightfield Focus 0.5 NA 1.25

Oil immersion — encapsulated gram-negative rods

Wikimedia Commons — Public Domain (CDC)

Clostridium perfringens — Gram Stain
Clostridium perfringens — Gram Stain

Gram stain of Clostridium perfringens showing large gram-positive bacilli. Characteristically large, box-car shaped rods causing gas gangrene.

gram Downloaded 2026-03-15
Upright Optical
100× Brightfield Focus 0.5 NA 1.25

Oil immersion — large box-car rods, anaerobic spore-former

Wikimedia Commons — Public Domain (CDC)

Corynebacterium diphtheriae — Gram Stain
Corynebacterium diphtheriae — Gram Stain

Gram-stained smear of Corynebacterium diphtheriae showing pleomorphic gram-positive bacilli in palisade and V/L arrangements (Chinese letter pattern).

gram Downloaded 2026-03-15
Upright Optical
100× Brightfield Focus 0.5 NA 1.25

Oil immersion — pleomorphic rods in palisade/Chinese letter arrangements

Wikimedia Commons — Public Domain (CDC)

Listeria monocytogenes — Gram Stain
Listeria monocytogenes — Gram Stain

Gram stain of Listeria monocytogenes showing small gram-positive coccobacilli. Short rods that can resemble cocci, sometimes in short chains.

gram Downloaded 2026-03-15
Upright Optical
100× Brightfield Focus 0.5 NA 1.25

Oil immersion — small gram-positive coccobacilli, intracellular pathogen

Wikimedia Commons — CC BY-SA 3.0

Neisseria meningitidis — Gram Stain (CSF)
Neisseria meningitidis — Gram Stain (CSF)

Gram stain of cerebrospinal fluid showing intracellular gram-negative diplococci within neutrophils, consistent with Neisseria meningitidis.

gram Downloaded 2026-03-15
Upright Optical
100× Brightfield Focus 0.5 NA 1.25

Oil immersion — intracellular gram-negative diplococci in CSF

Wikimedia Commons — Public Domain (CDC)

Neisseria gonorrhoeae — Gram Stain (Urethral)
Neisseria gonorrhoeae — Gram Stain (Urethral)

Gram-stained urethral discharge showing intracellular gram-negative diplococci within polymorphonuclear leukocytes. Classic finding for gonococcal urethritis.

gram Downloaded 2026-03-15
Upright Optical
100× Brightfield Focus 0.5 NA 1.25

Oil immersion — intracellular kidney-bean diplococci

Wikimedia Commons — Public Domain (CDC)

Gram-Negative Diplococci with Pus Cells
Gram-Negative Diplococci with Pus Cells

Gram stain showing gram-negative diplococci with numerous pus cells (PMNs). Characteristic finding in clinical specimen from gonococcal infection.

gram Downloaded 2026-03-15
Upright Optical
100× Brightfield Focus 0.5 NA 1.25

Oil immersion — gram-negative diplococci, respiratory pathogen

Wikimedia Commons — CC BY-SA 4.0

Sputum Gram Stain — Gram-Negative Bacteria with Pus Cells
Sputum Gram Stain — Gram-Negative Bacteria with Pus Cells

Gram-stained sputum specimen showing numerous gram-negative bacteria with polymorphonuclear leukocytes indicating lower respiratory infection.

gram Downloaded 2026-03-15
Upright Optical
100× Brightfield Focus 0.5 NA 1.25

Oil immersion — mixed flora with PMNs, lower respiratory specimen

Wikimedia Commons — CC BY-SA 3.0

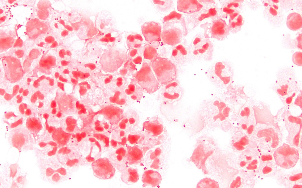
Sputum Gram Stain — Mixed Flora
Sputum Gram Stain — Mixed Flora

Gram-stained smear of sputum prepared for microscopic observation showing mixed bacterial morphotypes and inflammatory cells.

gram Downloaded 2026-03-15
Upright Optical
100× Brightfield Focus 0.5 NA 1.25

Oil immersion — positive blood culture, cocci in clusters

Wikimedia Commons — CC BY-SA 3.0

Staphylococcus aureus — TEM Ultrastructure
Staphylococcus aureus — TEM Ultrastructure

Transmission electron micrograph of Staphylococcus aureus (VISA strain) showing cell wall thickening, cell membrane, and internal cellular structures. Cross-section reveals thick peptidoglycan layer characteristic of gram-positive bacteria.

unstained Downloaded 2026-03-15
JEM-F200
50000× Electron Beam Focus 0.0

TEM thin section — cell wall thickening visible in VISA strain

Wikimedia Commons — CC BY-SA 3.0 / Public Domain

Staphylococcus aureus — TEM Cross Section
Staphylococcus aureus — TEM Cross Section

TEM cross-section of S. aureus (VISA strain) showing dividing cells with visible septum formation, thick peptidoglycan cell wall, cytoplasmic membrane, ribosomes, and nucleoid region.

unstained Downloaded 2026-03-15
JEM-F200
60000× Electron Beam Focus 0.0

TEM thin section — dividing cells with septum visible

Wikimedia Commons — CC BY-SA 3.0 / Public Domain

Staphylococcus aureus — Electron Micrograph
Staphylococcus aureus — Electron Micrograph

Electron micrograph of Staphylococcus aureus showing characteristic cocci morphology and surface detail at high magnification.

unstained Downloaded 2026-03-15
JEM-F200
40000× Electron Beam Focus 0.0

TEM — S. aureus surface and morphology detail

Wikimedia Commons — CC BY-SA 3.0 / Public Domain

S. aureus — Intact Cell Population TEM
S. aureus — Intact Cell Population TEM

TEM image showing intact population of Staphylococcus aureus cells. Individual bacteria show cell wall, membrane, and cytoplasmic contents including ribosomes and nucleoid.

unstained Downloaded 2026-03-15
JEM-F200
30000× Electron Beam Focus 0.0

TEM — intact population showing internal structures

Wikimedia Commons — CC BY-SA 3.0 / Public Domain

S. aureus — Phenotypic Variation TEM
S. aureus — Phenotypic Variation TEM

TEM image demonstrating phenotypic variation in S. aureus population. Cells show varying cell wall thickness and internal organization.

unstained Downloaded 2026-03-15
JEM-F200
35000× Electron Beam Focus 0.0

TEM — phenotypic variation in cell wall thickness

Wikimedia Commons — CC BY-SA 3.0 / Public Domain

Escherichia coli Colony — SEM
Escherichia coli Colony — SEM

Scanning electron micrograph of an E. coli colony showing rod-shaped gram-negative bacteria. Surface detail reveals smooth outer membrane characteristic of Enterobacteriaceae.

unstained Downloaded 2026-03-15
JSM-IT800
15000× Electron Beam Focus 0.0

SEM — E. coli colony surface morphology

Wikimedia Commons — CC BY-SA 3.0 / Public Domain

Pseudomonas aeruginosa — SEM
Pseudomonas aeruginosa — SEM

Scanning electron micrograph of Pseudomonas aeruginosa showing rod-shaped gram-negative bacteria with visible polar flagellum and surface pili.

unstained Downloaded 2026-03-15
JSM-IT800
20000× Electron Beam Focus 0.0

SEM — P. aeruginosa with flagellum and pili visible

Wikimedia Commons — CC BY-SA 3.0 / Public Domain

Lactococcus lactis — SEM
Lactococcus lactis — SEM

Scanning electron micrograph of Lactococcus lactis showing ovoid gram-positive cocci. Surface detail and cell division visible.

unstained Downloaded 2026-03-15
JSM-IT800
25000× Electron Beam Focus 0.0

SEM — L. lactis cocci morphology and division

Wikimedia Commons — CC BY-SA 3.0 / Public Domain

Pseudomonas — Cellular Envelope TEM
Pseudomonas — Cellular Envelope TEM

TEM image showing emerging projections of the cellular envelope of Pseudomonas sp. Outer membrane, periplasmic space, and inner membrane visible — classic gram-negative cell wall architecture.

unstained Downloaded 2026-03-15
JEM-F200
80000× Electron Beam Focus 0.0

TEM — gram-negative envelope architecture, outer membrane projections

Wikimedia Commons — CC BY-SA 3.0 / Public Domain

Vibrio vulnificus — Colorized SEM
Vibrio vulnificus — Colorized SEM

Colorized scanning electron micrograph of Vibrio vulnificus showing curved rod morphology with polar flagellum. Characteristic comma-shaped gram-negative bacterium.

unstained Downloaded 2026-03-15
JSM-IT800
18000× Electron Beam Focus 0.0

SEM colorized — V. vulnificus curved rod with flagellum

Wikimedia Commons — CC BY-SA 3.0 / Public Domain

Prokaryotic Cell Diagram — Reference
Prokaryotic Cell Diagram — Reference

Labeled diagram of a prokaryotic cell showing cell wall, cell membrane, cytoplasm, ribosomes, nucleoid (DNA), flagellum, pili, and capsule.

unstained Downloaded 2026-03-15
JEM-F200
25000× Electron Beam Focus 0.0

Reference diagram — prokaryotic cell anatomy

Wikimedia Commons — CC BY-SA 3.0 / Public Domain

Gram-Positive vs Gram-Negative Cell Wall — Diagram
Gram-Positive vs Gram-Negative Cell Wall — Diagram

Comparative diagram showing gram-positive (thick peptidoglycan, teichoic acids) vs gram-negative (thin peptidoglycan, outer membrane with LPS, periplasmic space) cell wall architecture.

unstained Downloaded 2026-03-15
JEM-F200
100000× Electron Beam Focus 0.0

Reference diagram — comparative cell wall architecture

Wikimedia Commons — CC BY-SA 3.0 / Public Domain

Gram-Positive Bacterium — Labeled SVG Diagram
Gram-Positive Bacterium — Labeled SVG Diagram

Detailed labeled SVG diagram of a gram-positive bacterium (S. aureus) showing capsule, thick peptidoglycan cell wall, teichoic acids, cytoplasmic membrane, nucleoid, ribosomes (70S), plasmids, mesosome, pili/fimbriae, and cytoplasm. TEM cross-section perspective.

unstained Uploaded 2026-03-15
JEM-F200
50000× Electron Beam Focus 0.0

SVG diagram — labeled cross-section of gram-positive bacterial cell

Generated — Educational SVG

Gram-Negative Bacterium — Labeled SVG Diagram
Gram-Negative Bacterium — Labeled SVG Diagram

Detailed labeled SVG diagram of a gram-negative bacterium (E. coli) showing outer membrane, LPS (lipopolysaccharide), periplasmic space, thin peptidoglycan layer, inner membrane, nucleoid, ribosomes (70S), plasmids, flagellum, Type I pili, inclusion bodies, and cytoplasm. TEM cross-section perspective.

unstained Uploaded 2026-03-15
JEM-F200
60000× Electron Beam Focus 0.0

SVG diagram — labeled cross-section of gram-negative bacterial cell

Generated — Educational SVG

Cell Wall Architecture — Gram+ vs Gram- Comparison
Cell Wall Architecture — Gram+ vs Gram- Comparison

Side-by-side comparative SVG diagram showing gram-positive (thick peptidoglycan, teichoic acids) vs gram-negative (thin peptidoglycan, outer membrane, LPS, periplasmic space, porins) cell wall architecture. Includes dimensional annotations.

unstained Uploaded 2026-03-15
JEM-F200
100000× Electron Beam Focus 0.0

SVG diagram — comparative cell wall architecture at high TEM magnification

Generated — Educational SVG

Compatible Microscopes

Model Manufacturer Type Magnification Range NA Max Resolution
HT7800 Hitachi High-Tech Tem 200–600000× — nm
Regulus 8200 Hitachi High-Tech Fe Sem 20–2000000× 0.6 nm
JEM-F200 JEOL Tem 50–1500000× — nm
JSM-IT800 JEOL Sem 5–1000000× 0.7 nm
JSM-7900F JEOL Fe Sem 25–1000000× 0.5 nm
DM6 B Leica Microsystems Upright Optical 1.25–100× 1.4 200 nm
DMi8 Leica Microsystems Inverted Optical 2.5–100× 1.47 185 nm
Eclipse Ti2 Nikon Inverted Optical 2–100× 1.45 190 nm
Eclipse Ni Nikon Upright Optical 2–100× 1.4 200 nm
BX53 Olympus (Evident) Upright Optical 2–100× 1.4 200 nm
IX83 Olympus (Evident) Inverted Optical 2–100× 1.4 200 nm
Apreo 2 Thermo Fisher Scientific Fe Sem 13–2000000× 0.7 nm
Axio Observer 7 Zeiss Inverted Optical 5–100× 1.4 200 nm
Axio Imager 2 Zeiss Upright Optical 1.25–100× 1.4 200 nm
Primostar 3 Zeiss Upright Optical 4–100× 1.25 350 nm